Table of Contents
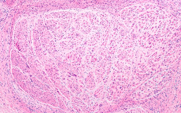
Washington University Experience | PERIPHERAL NEUROPATHY | 19 TRAUMATIC INJURIES | 24A2 Neuroma (Case 24) H&E 10X
H&E stained sections show the presence of normal nerve fascicles followed by chaotic arrangement of a disorganized plexus of axons and Schwann cells within a fibrocollagenous stroma. The fascicles are small and surrounded by delicate perineurial processes (mini-fascicles). (H&E).
