Table of Contents
Washington University Experience | PERIPHERAL NEUROPATHY | 19 TRAUMATIC INJURIES | 24A3 Neuroma (Case 24) H&E 20X
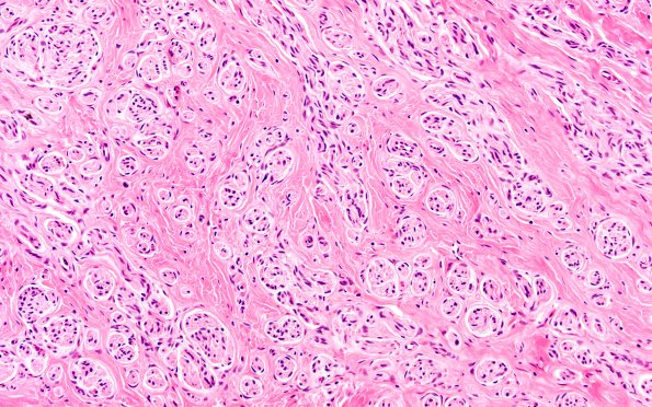
H&E stained sections show the presence of normal nerve fascicles followed by chaotic arrangement of a disorganized plexus of axons and Schwann cells within a fibrocollagenous stroma. The fascicles are small and surrounded by delicate perineurial processes (mini-fascicles). (H&E). ---- Not shown: A trichrome and Bielschowsky stain was performed. The trichrome stain highlights the fibrosis and the Bielschowsky stain highlights the axonal sprouts within clusters of Schwann cells.
