Table of Contents
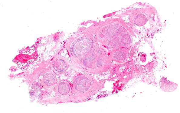
Washington University Experience | PERIPHERAL NEUROPATHY | 19 TRAUMATIC INJURIES | 25A1 Nerve Trauma (Case 25) H&E 2X
Although this is a traumatic lesion, one feature of the histology is unusual in my experience and bears comment. An unusual appearance for a “traumatic neuroma” is this cross section of multiple fascicles in which many fascicles are completely surrounded by an impressive thick proliferation of circularly oriented cells. (H&E)
