Table of Contents
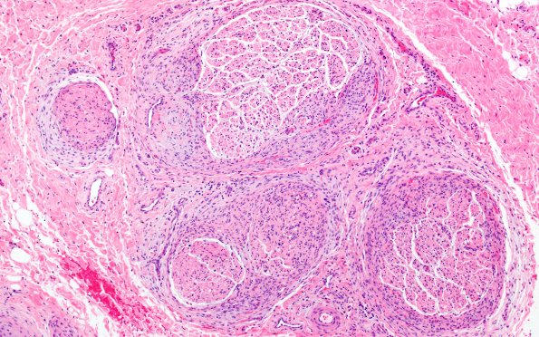
Washington University Experience | PERIPHERAL NEUROPATHY | 19 TRAUMATIC INJURIES | 25A2 Nerve Trauma (Case 25) H&E 10X 2
Multiple fascicles with clear separation of the portion of the fascicle representing the underlying axon population and the circular elements which appear to represent hyperplastic perineurium. (H&E)
