Table of Contents
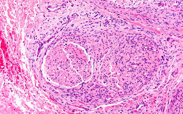
Washington University Experience | PERIPHERAL NEUROPATHY | 19 TRAUMATIC INJURIES | 25A7 Nerve Trauma (Case 25) H&E 20X 1
Higher magnification images show apparent small residual myelinated axons which are not seen in the perineurial surround. (H&E)
