Table of Contents
Washington University Experience | PERIPHERAL NEUROPATHY | 19 TRAUMATIC INJURIES | 25A8 Nerve Trauma (Case 25) H&E 40X 1
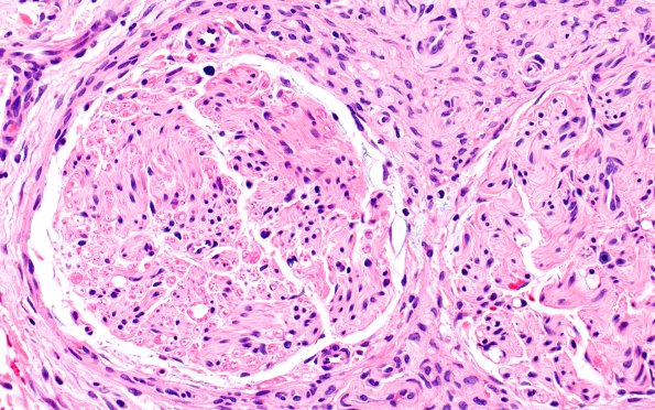
A higher magnification of image #25A7 showing a small population of axons recognized by the appearance of neurokeratin myelin artifact. (H&E)
