Table of Contents
Washington University Experience | PERIPHERAL NEUROPATHY | 19 TRAUMATIC INJURIES | 25B2 Nerve Trauma (Case 25) NF 40X 4
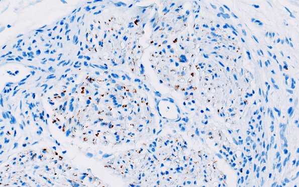
There has been significant loss of axons, particularly absent are large axons. The perineurial cells do not enclose mini-fascicles with axons. (NF IHC)
