Table of Contents
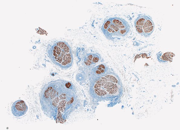
Washington University Experience | PERIPHERAL NEUROPATHY | 19 TRAUMATIC INJURIES | 25C1 Nerve Trauma (Case 25) S100 2X 1A
A low magnification image of the S100 immunostained nerve section shown stained with H&E in 25A2. The cellular proliferation within the fascicles is composed of Schwann cells that are positive for S100 protein (S100 IHC)
