Table of Contents
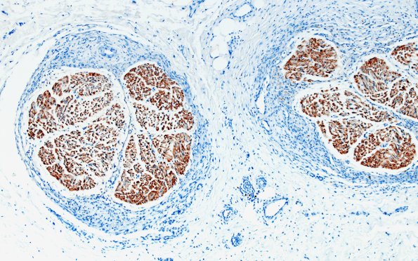
Washington University Experience | PERIPHERAL NEUROPATHY | 19 TRAUMATIC INJURIES | 25C2 Nerve Trauma (Case 25) S100 10X 1A
25C2,3 Note there is a yes/no difference in S100 immunohistochemistry between the endoneurium and the unlabeled perineurium
