Table of Contents
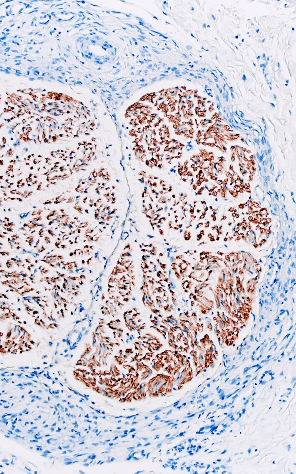
Washington University Experience | PERIPHERAL NEUROPATHY | 19 TRAUMATIC INJURIES | 25C3 Nerve Trauma (Case 25) S100 20X 3A
Note there is a yes/no difference in S100 immunohistochemistry between the endoneurium and the unlabeled perineurium
