Table of Contents
« prev
next »
Washington University Experience
|
PERIPHERAL NEUROPATHY
|
19 TRAUMATIC INJURIES
|
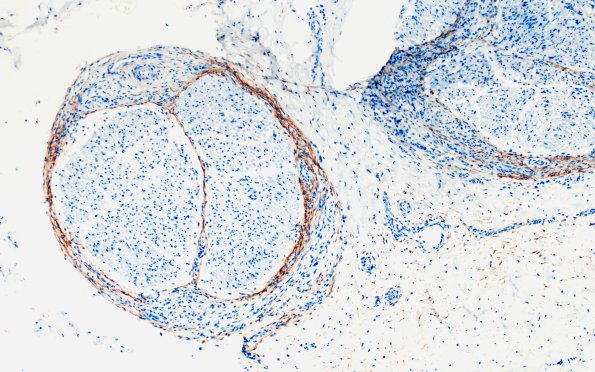
25D2 Nerve Trauma (Case 25) EMA 10X 1A
The EMA immunohistochemistry stains the perineurial layer but not very robustly. (EMA IHC)
Image Info
Camera Maker:
Olympus
Camera Model:
DP74
Shutter Speed:
14/27451 sec
Metering Mode:
Multi-Spot
Gallery RSS
|
Archive View
|
Login
|
Powered by
Zenphoto