Table of Contents
« prev
next »
Washington University Experience
|
PERIPHERAL NEUROPATHY
|
19 TRAUMATIC INJURIES
|
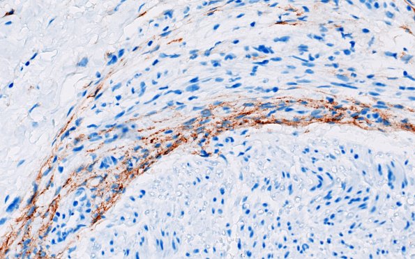
25D4 Nerve Trauma (Case 25) EMA 40X 2
High magnification images show the delicate EMA labeling of the perineurium. (EMA IHC)
Image Info
Camera Maker:
Olympus
Camera Model:
DP74
Shutter Speed:
4/883 sec
Metering Mode:
Multi-Spot
Gallery RSS
|
Archive View
|
Login
|
Powered by
Zenphoto