Table of Contents
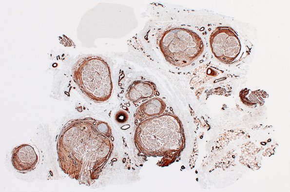
Washington University Experience | PERIPHERAL NEUROPATHY | 19 TRAUMATIC INJURIES | 25E1 Nerve Trauma (Case 25) Coll IV 2X 1
Collagen IV stains basement membranes of the perineurium, Schwann cells of the endoneurium and the vasculature. (Coll IV IHC)
