Table of Contents
Washington University Experience | PERIPHERAL NEUROPATHY | 19 TRAUMATIC INJURIES | 25E5 Nerve Trauma (Case 25) Coll IV 40X 3
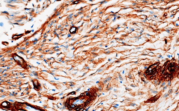
The perineurium stains strongly with collagen IV in a lamellar pattern. These cells are S100 negative and collagen type IV positive, indicating that they are perineurial cells. (Coll IV IHC)
