Table of Contents
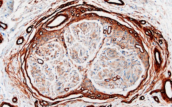
Washington University Experience | PERIPHERAL NEUROPATHY | 19 TRAUMATIC INJURIES | 25E6 Nerve Trauma (Case 25) Coll IV 20X 1
An additional image (same fascicle as #25D1) (Coll IV IHC) ---- Comment: This degree of proliferation is reminiscent of that seen in an unusual and poorly described condition known as sensory perineuritis. However, the traumatic history is against it. The perineurium is not fibrotic and there is no history compatible with Cogan’s syndrome, which is a rare clinical entity characterized by non-infectious interstitial keratitis with vestibulo-auditory dysfunction in which there is prominent perineurial fibrosis (PMID: 17885761).
