Table of Contents
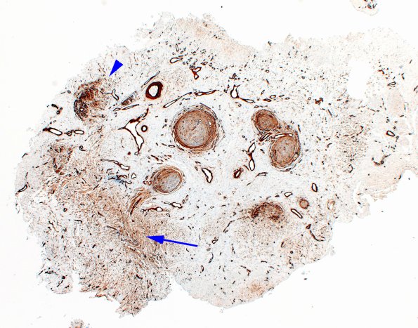
Washington University Experience | PERIPHERAL NEUROPATHY | 19 TRAUMATIC INJURIES | 25G1 Nerve Trauma (Case 25) Coll IV 2X copy
This level of nerve is stained with collagen IV shows areas of loss of fascicular integrity (arrowhead) and proliferation of collagen IV processes. (Coll IV IHC)
