Table of Contents
« prev
next »
Washington University Experience
|
PERIPHERAL NEUROPATHY
|
19 TRAUMATIC INJURIES
|
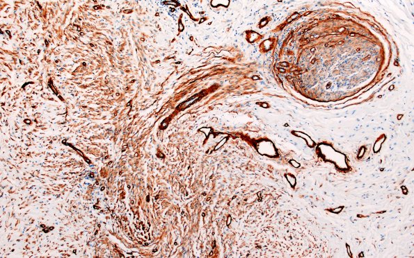
25G2 Nerve Trauma (Case 25) Coll IV 10X 1
25G2,3 Higher magnification of the epineurial processes at the arrow (25G1). (Coll IV IHC)
Image Info
Camera Maker:
Olympus
Camera Model:
DP74
Shutter Speed:
41/100000 sec
Metering Mode:
Multi-Spot
Gallery RSS
|
Archive View
|
Login
|
Powered by
Zenphoto