Table of Contents
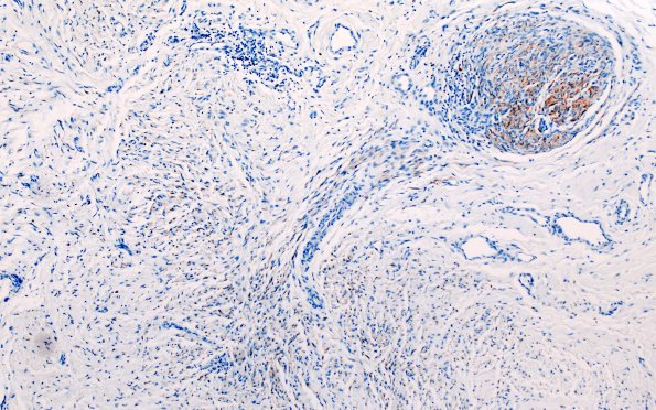
Washington University Experience | PERIPHERAL NEUROPATHY | 19 TRAUMATIC INJURIES | 25H1 Nerve Trauma (Case 25) S100 20X
25H1,2 These collagen IV immunoreactive processes do not have the immunosignature of Schwann cells. (Coll IV IHC)
