Table of Contents
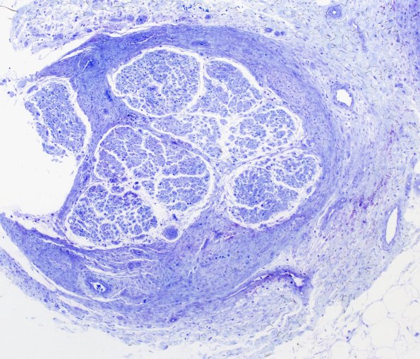
Washington University Experience | PERIPHERAL NEUROPATHY | 19 TRAUMATIC INJURIES | 25I1 1 Nerve Trauma (Case 25) Plastic 10X 1
25I1 The nerve biopsy specimen in the paraffin block was sampled, the paraffin extracted, processed through graded alcohols and embedded in plastic. A one-micron thick toluidine blue stained plastic section of a single fascicle is shown, exhibiting thickened hyperplastic perineurium. (Plastic section)
