Table of Contents
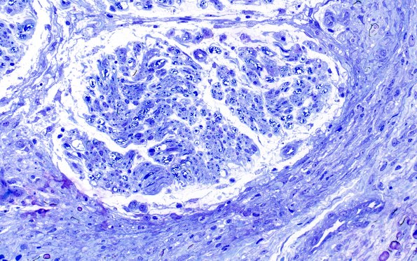
Washington University Experience | PERIPHERAL NEUROPATHY | 19 TRAUMATIC INJURIES | 25I2 1 Nerve Trauma (Case 25) Plastic 20X 2
25I2,3 Higher magnification images showing the endoneurial content of myelinated axons (arrow, 25I3) with marked neurokeratin artifact exaggerated by paraffin extraction and subsequent processing. The perineurium shows no axons or mini-fascicles. (Plastic sections)
