Table of Contents
Washington University Experience | PERIPHERAL NEUROPATHY | 19 TRAUMATIC INJURIES | 25I3 Nerve Trauma (Case 25) Plastic 100X 4 copy
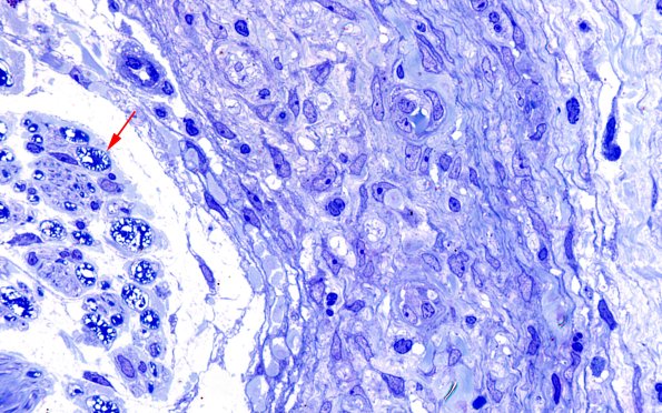
Higher magnification images showing the endoneurial content of myelinated axons (arrow) with marked neurokeratin artifact exaggerated by paraffin extraction and subsequent processing. The perineurium shows no axons or mini-fascicles. (Plastic sections)
