Table of Contents
Washington University Experience | PERIPHERAL NEUROPATHY | 19 TRAUMATIC INJURIES | 25J1 S97-14797_001A - Copy
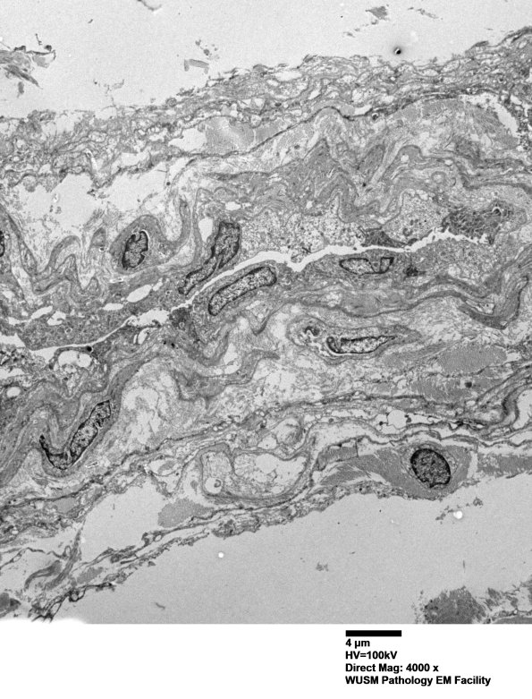
25J1,2 The ultrastructural appearance of the perineurium consisted of lamellar cells and their processes with basal laminae (arrow, 25J2). There were no axons within the hyperplastic perineurium. (electron micrographs)
