Table of Contents
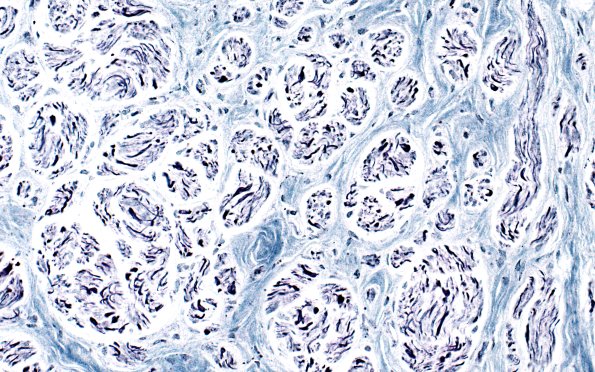
Washington University Experience | PERIPHERAL NEUROPATHY | 19 TRAUMATIC INJURIES | 2A2 Neuroma (Case 2) Bodian 40X
This case shows particularly well preserved histologic findings and, as a result we attempted to compare Schwannian vs perineurial immunolabeling of mini-fascicles. These images demonstrate the axonal complement of the mini-fascicles. (Bodian)
