Table of Contents
Washington University Experience | PERIPHERAL NEUROPATHY | 19 TRAUMATIC INJURIES | 2B3 EMA vs S100 (Case 2) S100 100X 1 copy
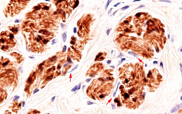
The border of mini-fascicles contain spindled elements which are not Schwannian (and are not S100 immunoreactive, arrows 2B3) but are perineurial. They probably include some fibroblasts as well. (S100 IHC)
