Table of Contents
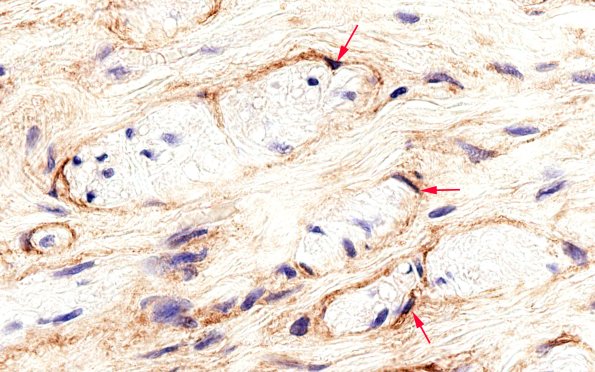
Washington University Experience | PERIPHERAL NEUROPATHY | 19 TRAUMATIC INJURIES | 2C4 EMA vs S100 (Case 2) EMA 100X 5 best copy
Many delicate EMA-immunoreactive perineurial cells (arrows) are identified in these high magnification images. (EMA IHC)
