Table of Contents
« prev
next »
Washington University Experience
|
PERIPHERAL NEUROPATHY
|
19 TRAUMATIC INJURIES
|
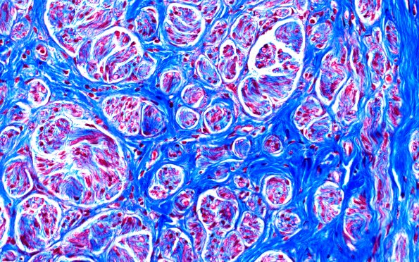
2D2 Neuroma (Case 2) Tri 40X
The stroma of the neuroma is rich in collagen which separates mini-fascicles. (Trichrome)
Image Info
Camera Maker:
Olympus
Camera Model:
DP74
Shutter Speed:
20/3231 sec
Metering Mode:
Multi-Spot
Gallery RSS
|
Archive View
|
Login
|
Powered by
Zenphoto