Table of Contents
Washington University Experience | PERIPHERAL NEUROPATHY | 19 TRAUMATIC INJURIES | 3A1 Neuroma (Case 3) H&E 10X 4 copy
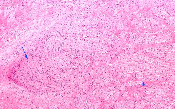
Case 3 History ---- The patient is a 13 year old boy with a history of laceration to the right volar aspect of the wrist resulting in sustained median nerve damage as well as osteomyelitis. Operative procedure: Resection. ---- 3A1 The origin of mini-fascicles (arrowhead) from a damaged nerve fascicle (arrow). (H&E)
