Table of Contents
« prev
next »
Washington University Experience
|
PERIPHERAL NEUROPATHY
|
19 TRAUMATIC INJURIES
|
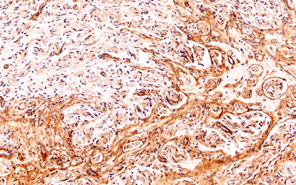
3B3 Neuroma (Case 3) Coll IV 20X
3B3,4 Higher magnification images of the parent fascicle/mini-fascicle junction. (Coll IV IHC)
Image Info
Camera Maker:
Olympus
Camera Model:
DP74
Shutter Speed:
24/20339 sec
Metering Mode:
Multi-Spot
Gallery RSS
|
Archive View
|
Login
|
Powered by
Zenphoto