Table of Contents
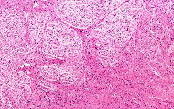
Washington University Experience | PERIPHERAL NEUROPATHY | 19 TRAUMATIC INJURIES | 4A1 Neuroma, traumatic (Case 4) H&E 10X 1
Case 4 History ---- The patient is a 4-month-old full-term male who was delivered via head presentation vaginally and suffered left brachial plexus palsy with persistent weakness in the deltoid, biceps and wrist. No forceps or suction was used to assist with delivery. His birth weight was 11 pounds 1 ounce. He did suffer meconium aspiration. He was placed on a ventilator and transferred to the Arkansas Children's NICU. He required a ventilator for four weeks and was in the NICU for six weeks. His left arm was completely flaccid. There was no evidence of fracture of the clavicle or arm. He did have findings on MRI scan suggestive of potential avulsion at C8. Surgery was performed to remove scar tissue. He was discharged from the hospital after six weeks and began to improve. ---- 4A1,2 In this case many of the nerve fascicles are cut in cross section and are surrounded by mini-fascicles. (H&E)
