Table of Contents
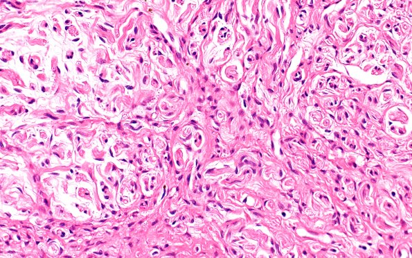
Washington University Experience | PERIPHERAL NEUROPATHY | 19 TRAUMATIC INJURIES | 4A2 Neuroma, traumatic (Case 4) H&E 40X 1
In this case many of the nerve fascicles are cut in cross section and are surrounded by mini-fascicles. (H&E)
