Table of Contents
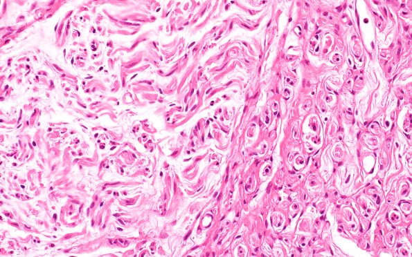
Washington University Experience | PERIPHERAL NEUROPATHY | 19 TRAUMATIC INJURIES | 4A3 Neuroma (Case 4) H&E 40X
There is a sharp difference in appearance of the residual intra-fascicular axons and those in adjacent mini-fascicles. (H&E)
