Table of Contents
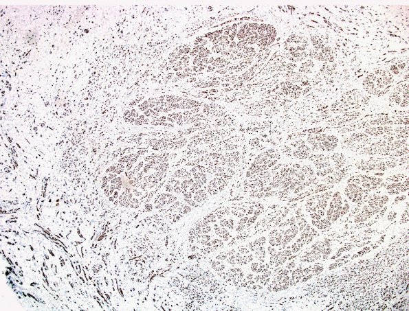
Washington University Experience | PERIPHERAL NEUROPATHY | 19 TRAUMATIC INJURIES | 4B1 Neuroma (Case 4) NF 10X 1
4B1-3 A neuroma is rich in axons since they result in its formation and are dispersed with the mini-fascicles. (NF IHC)
