Table of Contents
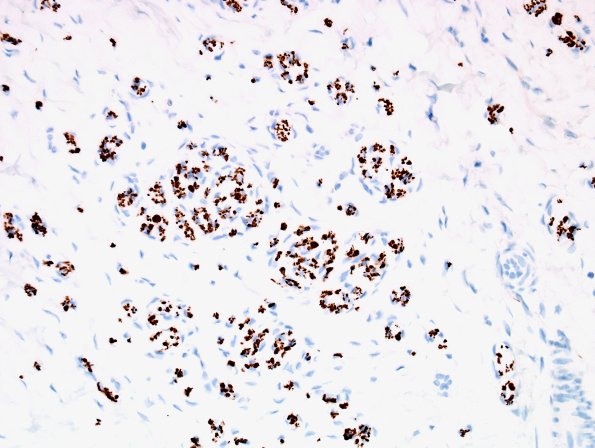
Washington University Experience | PERIPHERAL NEUROPATHY | 19 TRAUMATIC INJURIES | 4B2 Neuroma (Case 4) NF 1.jpg
4B2,3 Higher magnification images show clumps of axons in cross section (4B2) and seen longitudinally (4B3). (NF IHC)
