Table of Contents
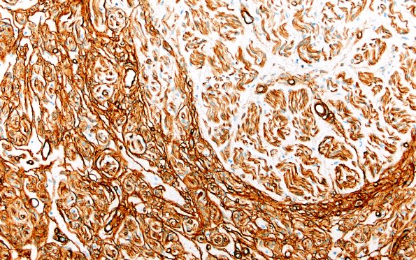
Washington University Experience | PERIPHERAL NEUROPATHY | 19 TRAUMATIC INJURIES | 4C2 Neuroma, traumatic (Case 4) Coll IV 20X
Intra-fascicular axons are labeled strongly but not typically in the nodular pattern outside the fascicle. (Coll IV IHC).
