Table of Contents
« prev
next »
Washington University Experience
|
PERIPHERAL NEUROPATHY
|
19 TRAUMATIC INJURIES
|
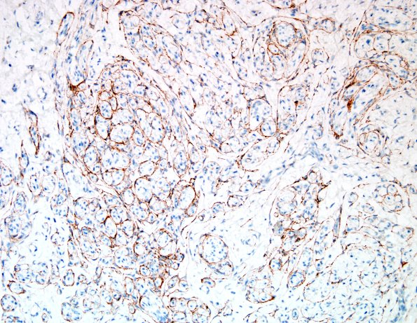
4D6 Neuroma (Case 4) EMA 6.jpg
4D6,7 These are typical mini-fascicles tightly surrounded by perineurium. (EMA IHC)
Image Info
Camera Maker:
Olympus Corporation
Camera Model:
DP70
Original Time Taken:
27-08-2016
Shutter Speed:
1/1200 sec
ISO Sensitivity:
200
Metering Mode:
Spot
Gallery RSS
|
Archive View
|
Login
|
Powered by
Zenphoto