Table of Contents
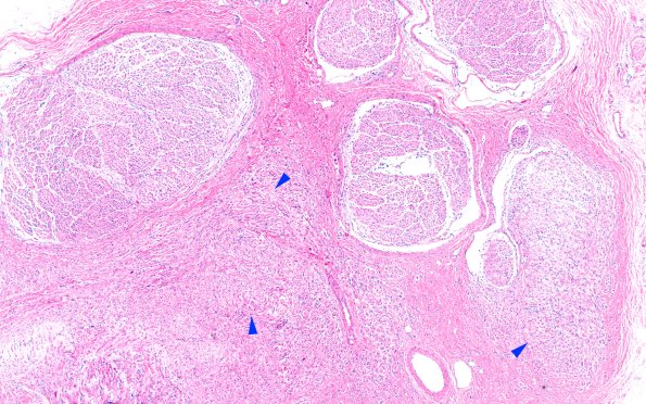
Washington University Experience | PERIPHERAL NEUROPATHY | 19 TRAUMATIC INJURIES | 6A1 Neuroma (Case 6) PROX H&E 4X 1 copy
Sections of the proximal ulnar nerve show multiple fascicles with numerous small groups of axons (mini-fascicles, arrowheads) as expected in a neuroma but many fascicles are not involved at this level. (H&E)
