Table of Contents
« prev
next »
Washington University Experience
|
PERIPHERAL NEUROPATHY
|
19 TRAUMATIC INJURIES
|
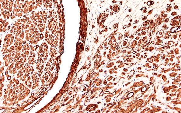
6D Neuroma (Case 6) PROX Coll IV 20X 1
This image shows the endoneurium on the left and the neuroma on the right. (Coll IV IHC)
Image Info
Camera Maker:
Olympus
Camera Model:
DP74
Shutter Speed:
10/6993 sec
Metering Mode:
Multi-Spot
Gallery RSS
|
Archive View
|
Login
|
Powered by
Zenphoto