Table of Contents
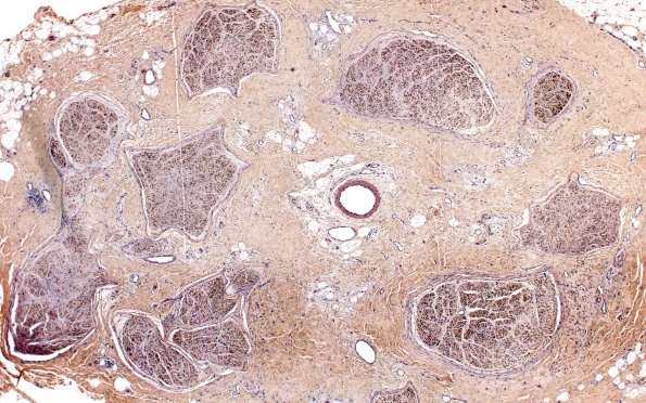
Washington University Experience | PERIPHERAL NEUROPATHY | 19 TRAUMATIC INJURIES | 6F1 Neuroma (Case 6) DISTAL NF 4X 1
There are numerous axons still in the fascicles but the size of the fascicles appear diminished due to axon loss. (NF IHC)
