Table of Contents
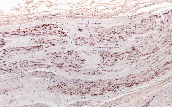
Washington University Experience | PERIPHERAL NEUROPATHY | 19 TRAUMATIC INJURIES | 6F2 Neuroma (Case 6) DISTAL NF 10X 1
This fascicle appears to have patchy axon loss. Likely these changes are the downstream residua of the loss of axons which have been subtracted into the mini-fascicles more proximally. (NF IHC)
