Table of Contents
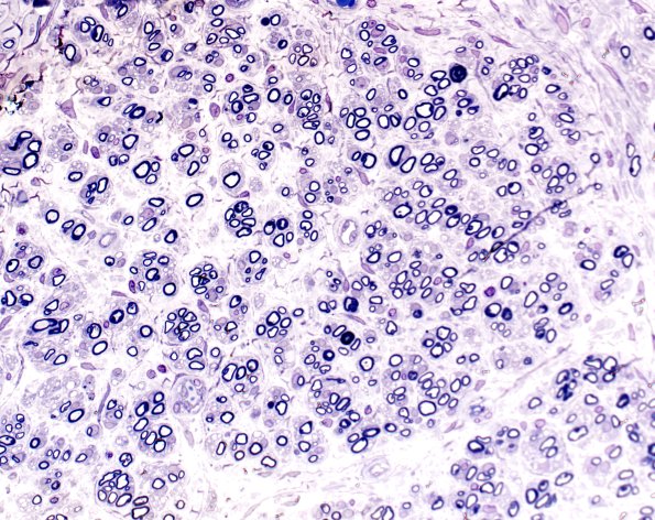
Washington University Experience | PERIPHERAL NEUROPATHY | 19 TRAUMATIC INJURIES | 6H1 Neuroma (Case 6) 20X 2
6H1,2 These two images are from the endoneurium before reaching the point of formation of the mini-fascicles. At this level these structures are regenerative clusters which are significantly smaller than mini-fascicles and are surrounded by Schwann cells rather than perineuria. (Plastic sections)
