Table of Contents



Washington University Experience | PERIPHERAL NEUROPATHY | 19 TRAUMATIC INJURIES | 6H3 Neuroma, traumatic (Case 6) Plastic 2

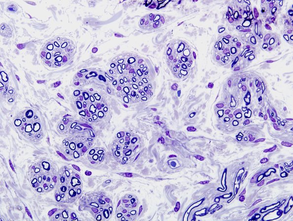
6H3 Neuroma, traumatic (Case 6) Plastic 2
6H3,4 These are mini-fascicles which are surrounded by perineurial cells. (Plastic sections)


Gallery RSS RSS Feed | Archive View | Login | Powered by Zenphoto