Table of Contents
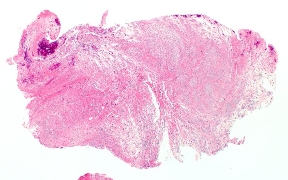
Washington University Experience | PERIPHERAL NEUROPATHY | 19 TRAUMATIC INJURIES | 7A1 Neuroma, brachial (Case 7) H&E 2X
Case 7 History ---- The patient is a 7-month-old girl who suffered a traumatic birth injury that involved shoulder dystocia and a fracture of her right clavicle. She had flaccid paralysis of her right arm at birth with only mild improvement in the strength of her arm after birth. Operative procedure: Brachial plexus exploration and repair with allograft. 7A1-3 Sections of the "brachial plexus injury" show numerous small nerve fascicles (mini-fascicles) in clusters embedded in a fibrous matrix. (H&E)
