Table of Contents
Washington University Experience | PERIPHERAL NEUROPATHY | 19 TRAUMATIC INJURIES | 7A3 Neuroma, brachial (Case 7) H&E 20X
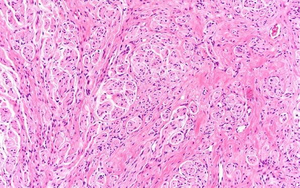
Sections of the "brachial plexus injury" show numerous small nerve fascicles (mini-fascicles) in clusters embedded in a fibrous matrix. (H&E)
