Table of Contents
« prev
next »
Washington University Experience
|
PERIPHERAL NEUROPATHY
|
19 TRAUMATIC INJURIES
|
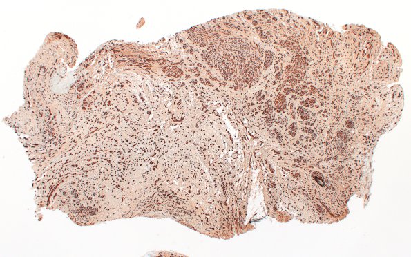
7C1 Neuroma, brachial (Case 7) S100 2X
7C1-4 Schwann cells are distributed within the mini-fascicles surrounding individual axons (S100 IHC),
Image Info
Camera Maker:
Olympus
Camera Model:
DP74
Shutter Speed:
21/100000 sec
Metering Mode:
Average
Gallery RSS
|
Archive View
|
Login
|
Powered by
Zenphoto