Table of Contents
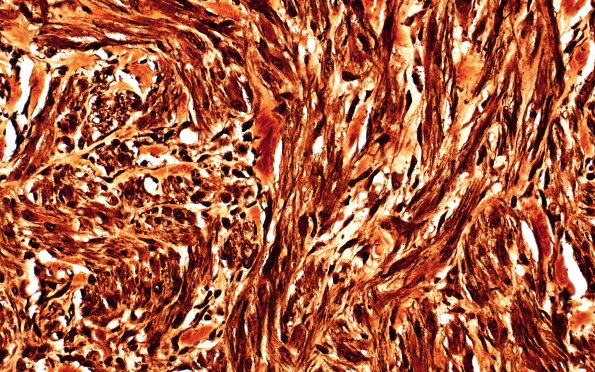
Washington University Experience | PERIPHERAL NEUROPATHY | 19 TRAUMATIC INJURIES | 8B3 Neuroma, traumatic (Case 8) Sevier-Munger 40X
This Sevier-Munger silver stain shows axons but stains the background element strongly making resolution of individual axons difficult. (Sevier-Munger silver stain)
