Table of Contents



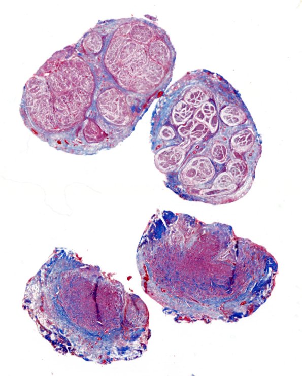
Washington University Experience | PERIPHERAL NEUROPATHY | 19 TRAUMATIC INJURIES | 8C1 Neuroma (Case 8) Trichrome WM

8C1 Neuroma (Case 8) Trichrome WM
8C1-3 Collagenous stroma involves both haphazard elements to mini-fascicles. (Trichrome)


Gallery RSS RSS Feed | Archive View | Login | Powered by Zenphoto