Table of Contents



Washington University Experience | PERIPHERAL NEUROPATHY | 19 TRAUMATIC INJURIES | 8C2 Neuroma (Case 8) Trichrome 1

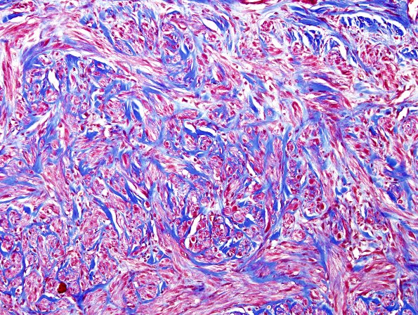
8C2 Neuroma (Case 8) Trichrome 1
Collagenous stroma involves both haphazard elements to mini-fascicles. (Trichrome)


Gallery RSS RSS Feed | Archive View | Login | Powered by Zenphoto