Table of Contents
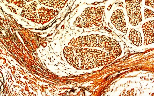
Washington University Experience | PERIPHERAL NEUROPATHY | 19 TRAUMATIC INJURIES | 8D2 Neuroma, traumatic (Case 8) Retic 20X
This reticulin stain is rarely used in neuromas but shows a distinctive pattern in both the normal nerve and in the neuroma.
