Table of Contents
Washington University Experience | PERIPHERAL NEUROPATHY | 19 TRAUMATIC INJURIES | 9A Neuroma, traumatic (Case 9) H&E 1
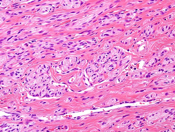
Case 9 History ---- The patient is a five month old boy with right brachial plexus palsy. Operative procedure: Exploration of right brachial plexus, repair right brachial plexus with bilateral sural nerve grafts. ---- 9A Sections of the right brachial plexus shows a traumatic neuroma with mini-fascicles of nerve embedded in fibrous stroma. (H&E)
