Table of Contents



Washington University Experience | PERIPHERAL NEUROPATHY | 19 TRAUMATIC INJURIES | 9B2 Neuroma, traumatic (Case 9) NF 1

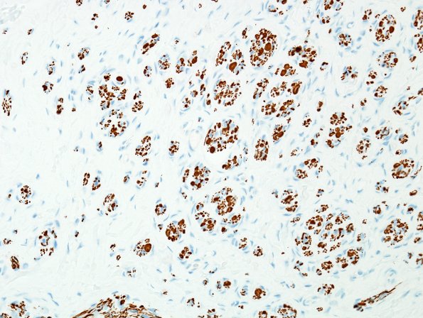
9B2 Neuroma, traumatic (Case 9) NF 1
Neurofilament staining highlights numerous axons within all fascicles and mini-fascicles.


Gallery RSS RSS Feed | Archive View | Login | Powered by Zenphoto